Jannah Theme License is not validated, Go to the theme options page to validate the license, You need a single license for each domain name.

Dentist In Marmaris

Marmaris, the coastal region of Turkey has a lot to offer to its visitors. This wonderful city has not only sun, perfect beaches and a great history, but also a wonderful place for dental treatment.

Dentists in Marmaris offer almost every single dental treatment for their patients. The clinics and dentists in Marmaris are always known for their high quality facilities and services.

If you are planning to get your dental work done in Marmaris, it is always recommended to find the best to get the right treatment. With proper research, you can be sure that you will find the best dentist in Marmaris and get the best treatment.

Best Dentist in Marmaris: How to Find the Best Dentists in Marmaris?

Every single dental treatment requires a personal approach and great care. Even though some of these procedures look simple, it is always important to work with a professional and experienced dentist to get the best results.

When looking for a dentist in Marmaris, it is always wise to check the following;

  • Accreditation: The dentist you will be working with must have the necessary accreditation and qualifications.
  • Facilities: Dental work must be done in a sterile and clean environment. While looking for a dentist in Marmaris, also check their facilities.
  • Experience: An experienced dentist will always give a better result for your treatment.
  • Communication: Just like any other medical procedure, dental work must also be done with proper and clean communication. Make sure that your dentist is transparent with pricing, clear communication. Avoid dentists with language barriers.

Best Dentists in Marmaris: Top 10 Dentists in Marmaris

If you are looking for a dentist in Marmaris, it is always recommended to work with a professional, highly rated dentist.

We have compiled the list of the top 10 dentists in Marmaris according to previous patient reviews, facilities and other factors. If you are looking for a dentist in this city, you may want to take a look.

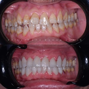
Dr. Aras Selçuk

Dentist Aras Selcuk is a well known dentist in Marmaris. The dentist is especially popular among international patients and offers a wide range of services. The clinic of the dentist has a great medical staff and latest technologies. Most of the patients are complimenting the work they receive.

dr aras selcuk marmaris dentist
Dr. Aras Selçuk Marmaris Dentist

Dr. Aras Selçuk Reviews and Testimonials

The dentist has an amazing review record. Almost every past patient gives positive feedback on their Google Reviews page.

  • Google rating: 5/5 – 68 reviews
4.9
Based on 75 reviews
powered by Google
ACg8ocIL6e eotmi g1BJCUVEj4sy tC9boi7U8F0So5bfhsPFHwyg=s128 c0x00000000 cc rp moLona Al-jaaf
14:48 08 Aug 24
During my holiday I had problems with my tooth, I was able to go straight to this dentist where I received excellent help. I had an X-ray taken of the teeth and had a check-up, for which I did not have to pay anything. Top practice.
ACg8ocIzq zhZbmBwH5V1Sp4yuz1Kios j qqhobixzWywraCftgbA=s128 c0x00000000 cc rp moSonia McFarlane
10:56 08 Jun 24
Very professional, helpful and friendly. They also had so much patience with me as I have a fear of dentist. Thankyou. Would highly recommend
ACg8ocKrBu 8YiWb c6OmjN8Fk aBthrMZDVTeCl0AoL gvOlk3hvA=s128 c0x00000000 cc rp moSTEPHEN DAY
19:37 05 Jun 24
The practice was recommended to me by a friend who had treatment by Aras Selcuk. I certainly was not disappointed, the treatment was first class and I would advise anyone who wanted any type of dental treatment to visit this practice. 😃
ALV UjWbMxVpOfVa E3OCgg3sU3fH93I9Z5HpIa9OlDg9P6rsTLpNw=s128 c0x00000000 cc rp mosajid hussain
14:33 05 Jun 24
Like to begin by saying a big thank you too all the staff and Aras for a wonderful experience from start to finish !! Amazing and friendly staff make you feel at home and very professional advice and service would recommend family and friends. The results are out of this world very happy with my teeth compared to what they looked like !! Thank you for making me smile again ❤️😁
ACg8ocIWSIyEuksIN1kPelpex4LkdHgUT5ov3yKIfBpO65ruxHCJBQ=s128 c0x00000000 cc rp moDominic Oneill
13:28 05 Jun 24
This clinic is the best In marmaris not only nice people but aras the dentist was the only dentist in marmaris willing to fix a couple of chips in my teeth while the rest said it can not be done & the job was excellent you wouldn’t even know the difference if I showed you before and after incredible
ALV UjW q5ueggIqOcklo5P F5dRkKCqVq5GqXT8 OVikPakgAv8p2bT=s128 c0x00000000 cc rp moTracey Oldham
12:58 05 Jun 24
We got taxi from her Hotel which took us straight to the dentist it was very clean tidy and was made very welcome. The staff was amazing. They made you feel as if you was at home treatment was finished in five days and everything was perfect. We are so pleased we would recommend the dentist anyone who needs help?
ALV UjVsonIMxzOA4i97DKg07AvNHhukKQqVamoR8yCLgF67IwgkYic8Sg=s128 c0x00000000 cc rp moAndy Chase
06:57 26 Jan 24
The whole experience has been amazing from start to finish. I came over from the UK for 2 implants, had a very professional pre consultation, and then the procedure was done in the same manner. The aftercare was also very good, messaging to check up on me and arranging a visit before I went home. Returned after 3 months to have the implants fitted and they always were very accommodating to fit me in. I was mostly impressed with how they wanted to make sure the implants were perfect before the final fitting, making minor adjustments and getting the colour a perfect match, ensuring I was fully satisfied.
yH5BAEAAAAALAAAAAABAAEAAAIBRAA7

Are There Any Complaints About Dr. Aras Selçuk?

There are no recent complaints from previous patients.

Dr. Aras Selçuk Location

The clinic is located in a very central area of Marmaris.

Kemeraltı Çarşısı, Org. Mustafa Muğlalı Cd. 86 Sk No:1 Kat:1, 48700 Marmaris/Muğla

Dr. Kemal Baycan

Dentist Kemal Baycan is one of the most popular and well-known dentists in Marmaris. He performs his procedures in his own clinic in the city center. Especially the locals are very fond of him.

dr kemal baycan marmaris dentist
Dr. Kemal Baycan Marmaris Dentist

Dr. Kemal Baycan Reviews and Testimonials

The dentist does not have a personal Google Reviews or Trustpilot page. However, he has a solid five stars with 68 reviews on a local doctor rating site. Most of the comments mention the quality of the services.

Are There Any Complaints About Dr. Kemal Baycan?

There are no recent complaints from previous patients.

Dr. Kemal Baycan Location

The clinic is situated in the heart of Marmaris.

Kemeraltı Çarşısı, Ulusal Egemenlik Cd. No:21/3, 48700 Marmaris/Muğla

Dr. Serkan Çelebi

Dentist Serkan Çelebi is also another highly rated dentist working in Marmaris. He has a great facility working with other dentists and offers a wide range of dental services. Both local and international patients are satisfied with the results they get.

dr serkan celebi marmaris dentist
Dr. Serkan Çelebi Marmaris Dentist

Dr. Serkan Çelebi Reviews and Testimonials

Dentist Serkan Çelebi has a large number of online reviews. With over a hundred reviews, he has a solid rating of 4.8 stars.

  • Google rating:8/5 – 109 reviews
ChIJIXyfCH vxQRcXbBj54nSy0 1
4.8
Based on 108 reviews
powered by Google
ALV UjX5KVbF DhF wCdFFvTTKL2rUK1V JwD4Eev6pv ULJ6t1smIg=s128 c0x00000000 cc rp movivek chhalotre
07:53 29 Mar 24
I had an appointment with Celeb Dental Clinic. Ruken was very helpful and set up the appointment without any issues. I was impressed by the honesty of the dentist and the whole team, who preferred not to suggest any additional treatment and instead took a more conservative approach. Thank you, Ruken and Merva.
ACg8ocL5QrIpHuIt6Cit8StJaTAPGHTePt2G8aP WV mQIc0rQ7QA=s128 c0x00000000 cc rp moArwa Elomeri
08:44 28 Mar 24
Was a wonderful experience being in celebi dental ruken patient coordinator was very helpful every one there, thank you for everything🙏💯
ALV UjVnlvlaJGns7JjDFliEHCueEc6Ad0VESvN fZkMLuXAVCRLg6MC=s128 c0x00000000 cc rp moBurcu Sultan EFE
08:41 28 Mar 24
I came for filling treatment. I had fears, but thanks to my doctor, I overcame my fear and my treatment went great. I was also very pleased with the cleanliness and hygiene. You can choose with peace of mind.
ACg8ocKv9zUQZwvtvGXP5120gYbeAIPm0NxBYXPDdqqfXECh8R2XfQ=s128 c0x00000000 cc rp mogod lover
08:35 28 Mar 24
A clinic where you can go without hesitation regarding cleanliness and hygiene. The smiling face of the staff alleviates the fear of the procedure to be performed.
ACg8ocL7pCwF5I LvVS7Ouew5REdrTBmok1G1XKC8xQD5dTozwaZpA=s128 c0x00000000 cc rp moMilen Antimov
06:44 08 Dec 23
ACg8ocI1f53X2R49aYWX5h0B fPu1c vgTBK7mEUM8Ako0soMWDNbg=s128 c0x00000000 cc rp mo ba3Sue Harris
16:42 24 May 23
I had extensive surgery in April.
Several extractions, implants and bone graft ready for full dental implants. No problems at all and no pain. Bruising and swelling which is to be expected after the amount of work I had done but even that was no where near what I was expecting.
Temporary teeth at the moment and really looking forward to going back for permanent ones.
Staff are amazing really friendly and professional and the clinic is very well maintained with high standards of cleanliness.
ACg8ocIr6qBKr8sx2vBNBzgx3uBZZmHlaIIBy awWdHHd4 9TSxznQ=s128 c0x00000000 cc rp moMaria thirkell
14:51 24 May 23
My husband had implants and Zirconium Crowns and this was carried out by DT Onur and he is extremely pleased and happy with his amazing new smile. Very professional team and Ruken is very helpful and answered any questions he had and helped keep us informed all through his procedures. Thank you.
ACg8ocKo AEPIxCr2GrIxHwd3 cumr5gnvlfp5pJO1tSJs7CH80lvQ=s128 c0x00000000 cc rp moFelix Medland
13:36 05 May 23
Celebi dental have provided great service at very reasonable cost . My dentist Onur Balci fitted a soft plate and was very thorough, kind and patient. The practice is extremely professional and well run, appointments are easy to arrange and the staff efficient and easy to deal with . Overall highly reccomended !
yH5BAEAAAAALAAAAAABAAEAAAIBRAA7

Are There Any Complaints About Dr. Serkan Çelebi?

There is some negative feedback about the prices of the procedures and the quality of the root canals. However, these feedbacks are from more than five years ago and the clinic has responded to all the negative comments to ensure customer satisfaction.

Dr. Serkan Çelebi Location

The clinic is located in a central area of Marmaris.

Kemal Seyfettin Elgin Bulvarı Karacan Plaza No:54/43, BluePort Avm karşısı, 48700 Marmaris/Muğla

Dr. Başak Balanlı Türkoğlu

Dentist Basak Balanli Turkoglu is one of the most renowned dentists in Marmaris, Turkey. She operates in her own clinic in the city center and offers almost any kind of dental treatment with high quality.

Dr Basak Balanli Turkoglu marmaris dentist
Dr. Başak Balanlı Türkoğlu Marmaris Dentist

Dr. Başak Balanlı Türkoğlu Reviews and Testimonials

The dentist has a great online presence with mostly positive reviews.

  • Google rating: 5/5 – 116 reviews
5.0
Based on 116 reviews
powered by Google
ALV UjUtC87HJnuC2wVKlMW3Y6my5qEhDQ7467wpI05qOSsKsxBWMwzt=s128 c0x00000000 cc rp moBURAK GÜLLE
17:55 14 May 24
Teeth cleaning was performed today, I was very pleased. Thanks.
ALV UjUheUa478d lKM9WAG wbbSsSPrDk5vOaTLqyCvozAUUTQKIZGo=s128 c0x00000000 cc rp moZahir Aktaş
10:55 21 Apr 24
My teacher Başak is the best in his job, I am very satisfied and I continue to be a reference to my friends, thank you.
ALV UjXRnEaZ6SHSgIxp697BItsV2RQ9wTM hSx0 1k A9mxYdmv 3e=s128 c0x00000000 cc rp moHyacinty genco Snoke
12:25 07 Mar 24
I've been going to him for a long time. He is the best dentist in Marmaris. He is well-rounded and does his job in detail.
ACg8ocInwB7OY2wBfeRZQdl7Keo5rtUBFEUNr8ui74G4Za5rF JccQ=s128 c0x00000000 cc rp moAynur Balcı
15:54 16 Jan 24
ACg8ocJ4 xEtyOmj7T5DJq2B7zcFabkf0F6cnF6zW8LoCVmoDBd1vw=s128 c0x00000000 cc rp moCevriye Duz
06:50 05 Nov 23
I went to Ms. Başak by researching on the internet and had my teeth cleaned, I was very pleased 😊
ALV UjVGWiQZ ow4 go55yEK8o0qgJ c4MrXPnTsJUHjb7dvUiOrOS4f=s128 c0x00000000 cc rp moCara Jones
18:18 18 Apr 22
What an amazing dentist!
Would highly recommend.
ALV UjWm4ndMCq8dzqIttLyaXwyvlsnil5r8WuHSyOBdX5LJZVE4fZ7Q=s128 c0x00000000 cc rp mougur kucuk
20:39 09 Mar 21
I’m very happy and satisfied client. Başak is a absolutely professional. She understands of and spoken very good English . Looks after her clients during the treatments.
If you have any questions or problems you can contact her directly so she can solves any issues or problems that you may have ( if you are suffering with new dental pain or ongoing she books you in very quickly )
During the lockdown unfortunately I had to visit emergency private Dentist in England.
After the check up was completed the dentist was very impressed with my 2 root canal treatments that were performed from Başak and commented on how well they were done.
So ,Mrs Başak Balanlı Türkoğlu
Thank you very much for everything . Best dentist in Marmaris with a doubt .
ACg8ocLAxHNBPdteNzl W 8mErlC8Rq0MWhw5Vk 5Kn OJxtkji5Ug=s128 c0x00000000 cc rp movanessa diktepe
18:55 09 Mar 21
Would highly recommend Basak
Explains everything that will be done, takes her time and is a perfectionist.
Prices very reasonable
I can now smile without hesitation
Thank you
yH5BAEAAAAALAAAAAABAAEAAAIBRAA7

Are There Any Complaints About Dr. Başak Balanlı Türkoğlu?

There are no recent complaints from previous patients.

Dr. Başak Balanlı Türkoğlu Location

The clinic is located at the following address;

Tepe Mah. 61 sk. Tokgöz Apt.  No:6/11 Deniz Bank Üstü, 48700 Marmaris/Muğla

Dr. Tulinay Yiğit

Dentist Tulinay Yigit is also another highly preferred dentist working in Marmaris. The dentist has a great facility that is capable of performing the most complex dental procedures. The well experienced dentist, Tulinay Yigit, offers a wide range of services in every field of dentistry.

dr tulinay yigit marmaris dentist
Dr. Tulinay Yiğit Marmaris Dentist

Dr. Tulinay Yiğit Reviews and Testimonials

The clinic has great online reviews from their previous patients. Most of the patients are happy with the results they received.

  • Google rating:6/5 – 21 reviews
4.7
Based on 30 reviews
powered by Google
ACg8ocLttlwr2CJQZ5V VhTOAXdbOpBIsV6PtNO3iFnyBsq01qzbjA=s128 c0x00000000 cc rp moMerve Yıldız
10:00 19 Aug 24
We came to our doctor with fear for my son, but we came out smiling and happy. Thank you for your efforts, Ms. Yasemin, I'm glad you are ❤️
ALV UjWAyyUD5MjC FyOR9CN1tLDeaCAQjz9Ht F5PLGnYGKYHWiT3BEcg=s128 c0x00000000 cc rp mo ba5Murat Tosmak
21:46 16 Aug 24
Yigit Dental is amazing! From the moment I walked in, the friendly staff made me feel at home. The place is clean and modern, and the dentists are extremely skilled and kind. They explained everything clearly and answered all my questions, which really put me at ease. I never felt rushed or like a regular patient. If you need any dental treatment this is the place to go. I definitely recommend it!
ALV UjV5wlgwh3ESW704Ib5aS4y3CVmOKPGkxdyk0SR5v7 5Es8IVXg=s128 c0x00000000 cc rp moElena Grigioni
12:16 05 Aug 24
Beautiful brand new clinic in Marmaris. I had a teeth cleaning treatment with Dr. Jasmin and it was better than in my Dental care in London. And obviously better price. Definitely will come back.
ACg8ocLmk gbBsNMOQf8UuY611 kIi53NalXUfnh0AK 4KlClx30RQ=s128 c0x00000000 cc rp moGulden Sahbaz
20:02 14 Jul 24
My teeth had yellowing, crookedness, holes and deformities. I had a full mouth zirconium coating treatment performed by Dr. Ercan, a dental prosthesis specialist and one of the brave dentists who has a dental clinic in Marmaris. It only took 5 days. There was no pain or ache. I was very happy to have a dental prosthesis specialist in Marmaris. This is our family's dental clinic from now on.
ACg8ocJJG9VxBCO5g0igjL6 N8e7j0IF85dpiKPX3YeOaam84CWwVQ=s128 c0x00000000 cc rp moEylül AYDOĞDU
08:25 11 Jul 24
ALV UjUPpltbEIZA9odMkUIVeBYDydb6zRm 8vsuYVWcKRHOACXac4c=s128 c0x00000000 cc rp moBen Mcneilly
15:13 10 Jul 24
My experience at Yiget was fantastic, Jasmin and her team where very experienced and gentle, I highly recommend this place to get your teeth bonding done
ACg8ocINaZwt1DZndT4hqe90mqHYVXVjbBCBW1FHWPdobeY uNZFew=s128 c0x00000000 cc rp moNikita Kalinin
15:27 09 Jul 24
Best dental clinic in Marmaris! You will come and leave with a smile)
Большое спасибо!)
ACg8ocJNipEMBF2XDX a8uuwajpfcpAdqfnkIsp2M9nWMtvW3s6C2w=s128 c0x00000000 cc rp moDavid Suen
15:05 22 Jun 22
Whilst on holiday I need emergency dental treatment. A friend of mine recommended Dr Yigit and I’m so glad that she did. I was well looked after, the staff are friendly and professional. I was particularly impressed with the modern equipment, clean surroundings and efficient service. I was seen the same day and went back for a second appointment for a filling. My tooth feels as good as new and I have no hesitation in recommending Dr Yigit’s dental clinic.
yH5BAEAAAAALAAAAAABAAEAAAIBRAA7

Are There Any Complaints About Dr. Tulinay Yiğit?

Some of the recent reviews from past patients mention high prices and unsatisfactory results. The dentist has not responded to any of the claims or provided a solution.

Dr. Tulinay Yiğit Location

Dentist is located in a central district of Marmaris.

Kemeraltı, 70. Sk. No:7, 48700 Marmaris/Muğla

Dr. Mustafa Numan Demir

Dentist Mustafa Numan Demir offers his services in his high quality clinic in Marmaris. The facilities and medical staff of the clinic are highly recommended by previous patients. Most of the patients are very satisfied with the treatments.

dr mustafa numan demir marmaris dentist
Dr. Mustafa Numan Demir Marmaris Dentist

Dr. Mustafa Numan Demir Reviews and Testimonials

The clinic does not have a strong online presence. Their number of reviews is relatively low. However, most of the reviews are positive.

  • Google rating:8/5 – 18 reviews
ACg8ocIP7q4qECFXmxF4hFj2TM9FVDQ80sIszPMP79ZeUkmCqxog3w=s128 c0x00000000 cc rp moCan Hannutoğlu
09:50 05 Jul 24
I call out to the laboratories that will do business with Mr. Mustafa: If you have the money and effort to throw away, do it. He is someone who does not pay for the laboratory and does not answer his phone. I don't have the courage to call him a doctor.
ACg8ocLD9CXONcdiKEd3VgYuHB3lf5SrE1IKChpQHn DqHovJIBstg=s128 c0x00000000 cc rp moYeliz Yılmaz
09:09 05 Jul 24
ALV UjWhzIo3YvMyfafCu7pYHyc8 nY6cDIlQCT8KY4w SuPMymvlGhB=s128 c0x00000000 cc rp moCengiz Tastan
14:13 30 Nov 22
ACg8ocI Ydy8DFS4iwktv0V590mzqa5tLD8RnFZ4ujx vsG6AHWlgw=s128 c0x00000000 cc rp moKevser karadağ
14:27 18 Jul 22
A very caring and clean clinic
ALV UjUIhuC7i 1wl0ScqnvJtlXfWzqrfSOtX6bkbNoQ9rwyV4nR7I0O6A=s128 c0x00000000 cc rp moVeranur Karaoğlan
19:46 16 Jul 22
An outstanding work
ACg8ocLlhJ6eTCbeS HC18Fv 1QKY9 BNoAQhxwU35SIxDpIfGY3fg=s128 c0x00000000 cc rp moGünnaz Karakaş
12:04 01 Jul 22
Mustafa Bey went down in history as the first doctor who did not hurt me. I was very pleased with the implant operation and the root canal treatment and fillings he performed before it. I recommend it to everyone with peace of mind.
ACg8ocLRBz5yJMk22PwXTA2ncxuA1SfOPKUgoABkGTE93r9ZbSNwuw=s128 c0x00000000 cc rp moNurgül Gereme
13:19 30 Jun 22
I came to Mustafa Bey for filling on the recommendation of my relatives. The warm atmosphere, the doctor's brain approach and the service I received from the first time I entered the clinic were admirable. Mustafa Bey is a real value for Marmaris.
ACg8ocJTw5xweV1rNt2lojAx vjpzgOVMOZ4operbxEKNKKUXcgCqg=s128 c0x00000000 cc rp moÖzgür Karakaş
07:09 30 Jun 22
Dr. Mustafa Numan is a doctor who is professionally equipped and can communicate very well with patients. At the same time, a very spacious and clean environment welcomes you in the clinic. Every detail has been considered for patient comfort. You can have all your treatments done with peace of mind.
yH5BAEAAAAALAAAAAABAAEAAAIBRAA7

Are There Any Complaints About Dr. Mustafa Numan Demir?

There are no recent complaints from previous patients.

Dr. Mustafa Numan Demir Location

The clinic is located in the center of Marmaris, easily accessible.

Kemeraltı, Abdi Karataban Sk. No:25/2, 48700 Marmaris/Muğla

Dr. Merih Ozyer

Dr. Merih Ozyer is one of the most popular and highly preferred dentists in Marmaris, he has a wonderful clinic and well experienced medical staff capable of performing any dental procedure.

dr merih ozyer marmaris dentist
Dr. Merih Ozyer Marmaris Dentist

Dr. Merih Ozyer Reviews and Testimonials

Dentist Merih Ozyer has great online reviews, overwhelmingly positive. With more than a hundred reviews, he has a solid five-star rating.

  • Google rating: 5/5 – 142 reviews
ChIJIxWW8b
5.0
Based on 144 reviews
powered by Google
ALV UjW4YhRy j7jVGRznUMqngH20C3fyanc0m6AkdRSG67DweUQOFtFMA=s128 c0x00000000 cc rp moseda _
11:56 05 Jul 24
Thank you very much for your friendly and sincere doctor's attention and good information 🙏🏻
Besides being a good dentist, he is also a wonderful person, which almost encourages you to go again. Even if my tooth doesn't hurt, people still stop by to say I came for a check-up. Especially if anyone has a fear of dentists, he should be your number 1 dentist in Marmaris among those who read this comment. Thank you, Mr. Merih✌🏻
ALV UjUnWnsQZtlA JMe5YfdbngYUkxtd6GiiDk9BxHmcT5i9 Ip4Jz9=s128 c0x00000000 cc rp moÖmer Karabulut
17:11 08 Apr 24
He did not disturb us after working hours and welcomed us with a smiling face. He came from his home and helped in the best way possible. We are very lucky to have such beautiful people in Marmaris.
ALV UjXpWQMShJ27ML4QpIQjKX8Qld3hp2u2hjI63DmudWrzhjP4xuI=s128 c0x00000000 cc rp mo ba3SERDAR ÖZGÜN
07:59 04 Apr 24
Come with peace of mind 🫶
ACg8ocJGj3WujVdbvKn6SakLGd1ZuY6DNOcxxUIjgYyYbBOppMx zg=s128 c0x00000000 cc rp moHerkez Buraya
16:07 24 Feb 24
Even though I have a dentist phobia, Merih Hodja, I could not understand how he removed my tooth with his sincere and sincere conversation. His hand is so light that I can't figure out how it happened. From now on, my only address is dear Mr. Merih. I thank my teacher again
ACg8ocJEpHDSqcur6H1GuSy1wZpE2JSoFL0SGt9wHVgFUCfMEeCfkg=s128 c0x00000000 cc rp moAlan Phillips
23:26 04 Oct 23
Very good reasonable prices and very friendly makes you feel at ease, all the treatment was completed within 11 days. didnt feel any pain at all would recommend to anybody that goes to marmaris.
ACg8ocLGoxHB0yTl 90wOsFkiqqEueM6buWQcg01W8UkIMnKcoG 6w=s128 c0x00000000 cc rp moDavid Craik
11:37 10 Nov 21
Great Dentist always there to help with the not infrequent emergences especially as Ann has a broken front tooth which due to too hard a bite is regularly in need of work! not the most economical of problems but never overcharged and a happy smile on his face. to be recommended
ALV UjWAW9MJVjj4Zx6 jYuEJtZHcRU8BrWQchy4SO5o6beIzd7WIhk=s128 c0x00000000 cc rp mokubilay albayrak
13:13 16 Oct 21
It is the only dentist I have used since 2004. I've never left unhappy. His goal has never been a lot of money, he just does what's best for the patient and does his best to protect what's essential. I strongly recommend.
yH5BAEAAAAALAAAAAABAAEAAAIBRAA7

Are There Any Complaints About Dr. Merih Ozyer?

There are no recent complaints from previous patients.

Dr. Merih Ozyer Location

Dental clinic is located in the central part of Marmaris.

Tepe, Kordon Cd. No:34 D:2, 48700 Marmaris/Muğla

Dr. Deniz Pehlivan

Dentist Deniz Pehlivan is known for his wide range of services in almost every field of dentistry. Most of the dentist’s patients are satisfied with the treatments and results. The feedback is overwhelmingly positive.

dr deniz pehlivan marmaris dentist
Dr. Deniz Pehlivan Marmaris Dentist

Dr. Deniz Pehlivan Reviews and Testimonials

Dentist Deniz Pehlivan always receives good feedback from his previous patients. However, the online presence of the clinic and the dentist is low.

  • Google rating:9/5 – 16 reviews
4.9
Based on 17 reviews
powered by Google
ACg8ocJY7r Lt0vvyJrQOHSjN2yrOyr03qPtP29AVHiKbEOR5gP=s128 c0x00000000 cc rp mojonathan clavel
10:48 05 Jun 24
In the top! I had my teeth cleaned and whitened in May 2024, super good doctor, and the office is very clean. The welcome is excellent and the audience is friendly. Very good results, very good doctor.
ACg8ocLfOTkY4Jss0f3aU8ilt0Csnis ptdCqkUJcf5r fxktlES3Q=s128 c0x00000000 cc rp moUmut Aloglu
11:39 20 May 24
Deniz teacher, he is an excellent person, a successful doctor. friendly. you are wonderful, Deniz teacher.
ACg8ocI5pEs3Kii2OFpbrLlmNdV6KP3znM7UeHRV3Ms4LdwjL32B8w=s128 c0x00000000 cc rp moDuygu Dülger
14:28 04 Aug 23
I had a problem with my teeth at the hotel where I came for the holiday, and I came across it by chance, I called for an examination, Mr. Deniz took care of it immediately without an appointment, Mr. Deniz is a very caring and friendly doctor, thank you so much, so are his assistants, love from Izmir, I will not forget your kindness🙏🙏🙏
ACg8ocJLFymxga304gYgjrPYm XFIhD6bBjQUykH4E4FZNTGgUhtjA=s128 c0x00000000 cc rp moKerry Cain
15:21 06 Apr 23
Deniz was recommended to me by a friend. So glad I went to him. I have gum disease and petrified of dentists. Ist visit in May when top row were removed and implants inserted (lots of tears through nervousness). Deniz reassured me through whole process. Can honestly say didn't feel a thing! 2nd visit in Sept 22 to get top row in and bottom ones crowned with a bridge. Yet again fabulous work and aftercare. Would definitely recommend this man, can't praise him or his staff enough!!
ALV UjXN2lfDL0bDxOCDOw6IZccZy4mcTqzshRpozk5R0RI2OaCtSy6a=s128 c0x00000000 cc rp moseda duran
08:14 05 Jan 23
ACg8ocLXol DndVwJDYT0io4djHOjw02KabPIucnCa3oUib5tTy1nw=s128 c0x00000000 cc rp moSteven Fleming
23:23 16 May 22
I would highly recommend this guy he's amazing ..I recommended him too a lot of my friends and their friends and families and everyone has said the same ..The guy is Amazing...
ACg8ocJGMpN5IRO2d 5K14 Wd63i Hk b0CMpW8ksJtQn7iDlFxPgg=s128 c0x00000000 cc rp monic barker
21:36 05 May 22
Do not get ur teeth done in turkey until u have seen this guy wow I went marmaris last week my friend from turkey mentioned deniz n the rest is history I have the best set of teeth I've seen come out of turkey so professional never pushy n never seemed to be about money he never once asked for any money upfront this guy is next level when it comes to making smiles
ALV UjXZVKvMMyMsktzbp1iDiT KHLxl9q8hczh xkCxFq4a6Sc6s0q7=s128 c0x00000000 cc rp mo ba3paula popz
16:42 27 Sep 20
I'll write more in a few weeks but I'm amazed at how this dentist knows exactly what you want, I was recommended deniz by everyone on the marmrus site, he's amazing the girls are so nice and my teeth look fantastic, new teeth new life 😍😍😍😍😍😍😍
yH5BAEAAAAALAAAAAABAAEAAAIBRAA7

Are There Any Complaints About Dr. Deniz Pehlivan?
There are no recent complaints from previous patients.

Dr. Deniz Pehlivan Location

The clinic is located at the following address;

Siteler, Armutalan Mh, Cumhuriyet Blv. No: 64/5, 48700 Marmaris/Muğla

Back to top button

Adblock Detect

Hello, we see that you are using an ad blocker on our site. Unfortunately, we cannot allow this. Please turn off your ad blocker and try again by reloading the page.